Галерия

Най-красивата ми и сладка пациентка:))) Провеждаме интерсептивно лечение с лингвална пластинка
Начало на лечението с Илиян Шишеджиев- едно вълнуващо пътуване към по-красива усмивка😁
Започваме лечението на Евгения Славянова с прозрачни алайнери Invisalign
Чаровницата Ирен, с която ще извървим дългият път към една красива усмивка:)
Прогения
Функционален апарат Fränkel III
Rapid Palatal Expander/ Апарат за бързо разширение
👏 Well done 👏
Invisalign magic
И Габи Якуб избра Invisalign за да стане още по-красива:)))
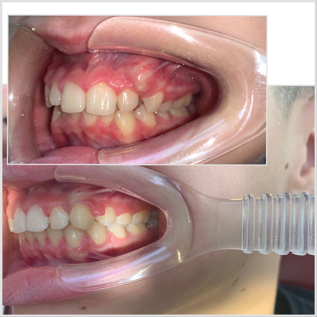
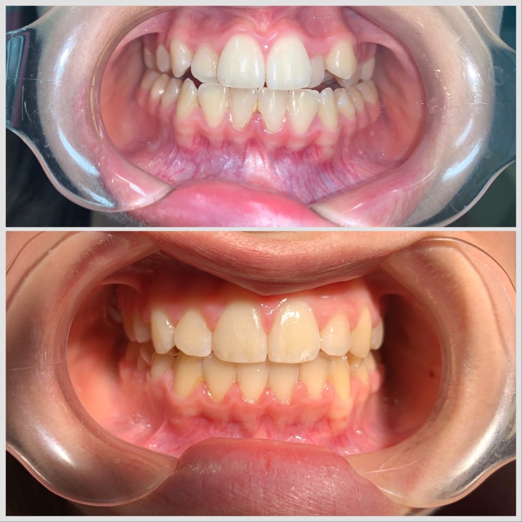
Прогресът на Ирен!
Guy Marlow from Netherlands starts his Invisalign journey. Thank you, Guy, for your trust!
Добре дошъл, Любчо, в света на Invisalign!
Invisalign Outcome Simulator Pro с най-новият 5Д скенер в България
Щастливата усмивка на Теди след сваляне на брекети:))) Обичам тези моменти:)))
Любчо вече се усмихва широко и уверено:)
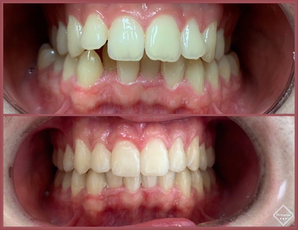
Напредъкът на Ели:)))
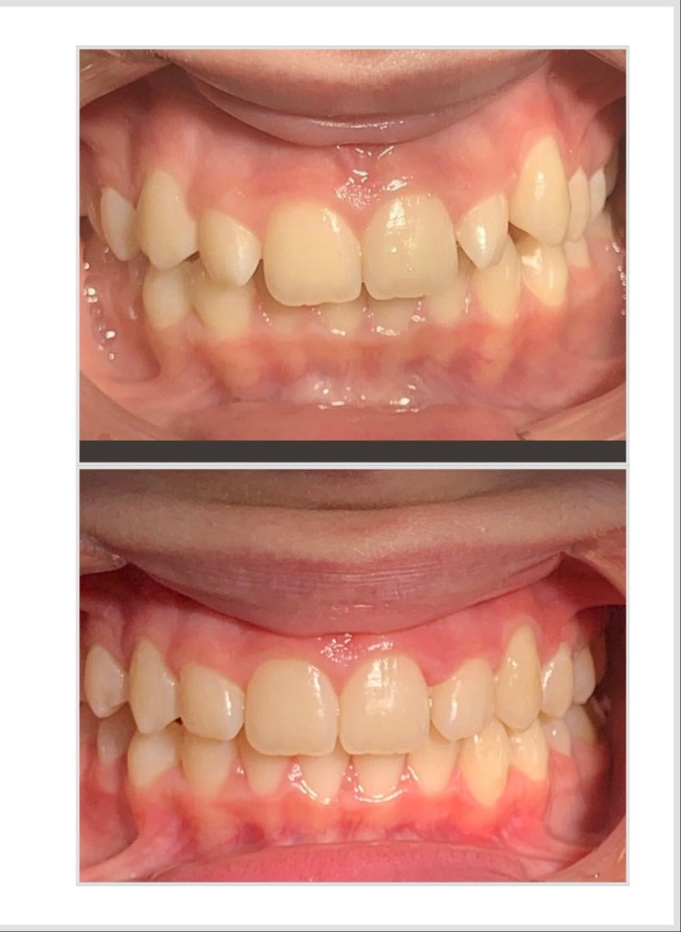
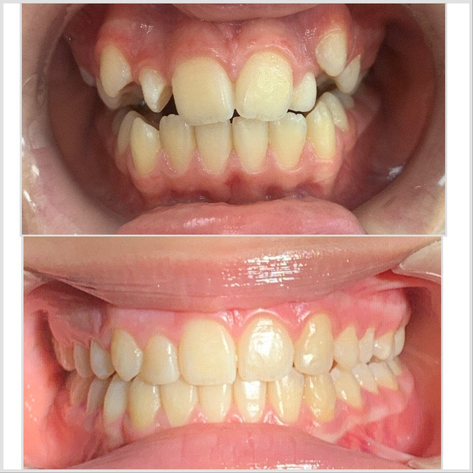
Промяна след лечение с лингвална пластинка:)
Чаровната ми Дари:))) Още по-красива вече😉
Ивето е с нова, по-прекрасна усмивка:)))
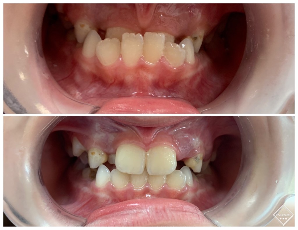
Меги:)))
Invisalign First
Invisalign First
Прекрасната усмивка на Йоанка само след 5 месеца лечение с алайнери Invisalign
search previous next tag category expand menu location phone mail time cart zoom edit close